Angiológia – Medison Klinika

Angiológiai vizsgálat a belgyógyászati vizsgálatok azon része, mely elsősorban az verőerek, viszerek és a nyirokrendszer betegségeivel foglalkozik. Leggyakrabban a végtagi artériák és a vénák állapotát vizsgáljuk. Kifejezett jelentősége van az érelmeszesedés mellett jelentkező érszűkülettel járó kórformák korai felismerésének és kezelésének. Ezek mellett az akut érrrögösödés, thrombózis igényel korai diagnózist és célzott kezlést. Nemcsak az akut életet is veszélyezetető folyamatok, hanem az ezt követő maradandó állapot, érszűkület, viszértágulat, krónikus vénás elégtelenség, sok esetben társuló cukorbetegség, szívbetegség egy komplex, társszakmák bevonása melletti kezelést tesz szükségessé. Az angiológiai érvizsgálat fájdalom és kockázatmentes, segítségével fel tudjuk deríteni az érrendszeri kockázatokat és elemezhetővé válik az artériás és vénás vérkeringés. Angiológiai magánrendelésükön több évtizedes tapasztalattal és a lehető legmagasabb szakmai felkészültséggel várjuk pácienseinket. Rendeléseinken használt eszközök a kor elvárásának megfelelő legmodernebb diagnosztikai lehetőségeket biztosítják. Társzakmák bevonása mellett, kiegészítő vizsgálatokra, – kockázati laborok, ultrahang diagnosztika, kardiológia, diabetológia- is lehetőség van. Teljes figyelemmel és odaadással kezeljük betegeinket és mindig megtaláljuk a megfelelő megoldást, még a komoly problémák esetében is.
ANGIOLÓGUS ORVOSAINK
Dr. Gincsai Ildikó
Belgyógyász, Angiológus, Diabetológus
Dr. Varga Marianna
Belgyógyász, Angiológus, Endokrinológus

ANGIOLÓGIAI VIZSGÁLATOK
Alapviszgálat

- Anamnézis felvétel, érrendszeri kockázatbecslés, előkezelés megismerése.
- Fizikális vizsgálat
- Perifériás érstátusz, pulzatilitás rögzítése, a felkari és az alsó végtagi érrrendszer vizsgálata.
- A vénás rendszer vizsgálata, beömlési kapuk, perifériás vénák tekintetében.
- Nyugalmi 12 csatornás EKG készítés, vérnyomás, szaturáció mérés.
- Kiegészítő neuropathia vizsgálat, hangvillapróba.
BKI ( Boka-Kar Index ) vizsgálat
- A boka kar index vizsgálata a klinikai tünetek ismerete mellett egyik leghatékonyabb eszköz az angiológus, belgyógyász kezében az artériás érszűkület vizsgálat során.
- Az eszközzel nem csak a szűkület meglétét, hanem annak súlyossági fokát is kvantifikálhatjuk.
- A viszgálathoz specifikus doppler készüléket alkalmazunk, melynek segítségével, a felszínes perifériás artériák dopplerezehetőek, perssziójuk mérhető, áramlási kinetikájuk jellemezhető.
- A vizsgálat fájdalmatlan és kockázatmentes, korlátlan alkalommal ismételhető.
Kiegészítő vizsgálatok
Ultrahang
- Mélyvénás thrombózis gyanúja esetén, a diagnózis megerősítéséhez.
- Thrombózis után a vénás rendszer átjárhatóságának megítéléséhez.
- A vénás rendszer krónikus terheléses jelei, seprűvénák, nagyvéna tágulatok esetén.
- Az artériás rendszer felmerülő szűkületei esetén.
- Krónikus érrendszeri betegségek követéséhez.

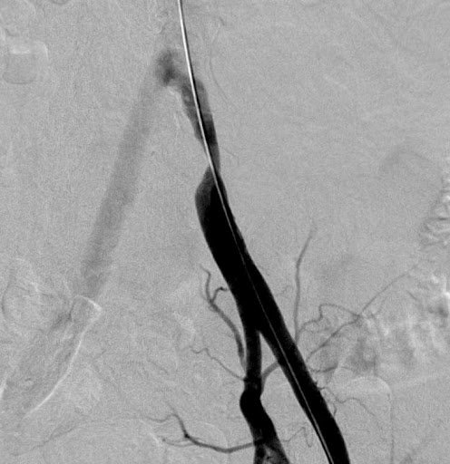
Angioráfia

ELÉRHETŐSÉG, KAPCSOLAT
Cím:
4400 Nyíregyháza, Váci Mihály u.18.
Telefonszám:
06/70/511-77-11 06/70/419-26-27
E-mail cím:
medisonklinika@gmail.com
